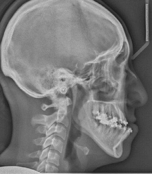
Return to "Understanding Orthognathic Surgery" FIGURE 8. Presurgical cephalometric radiograph demonstrating maxillary incisors in their original position, but mandibular incisors proclined to a Class I position. Notice the increase in negative overjet. Next Previous