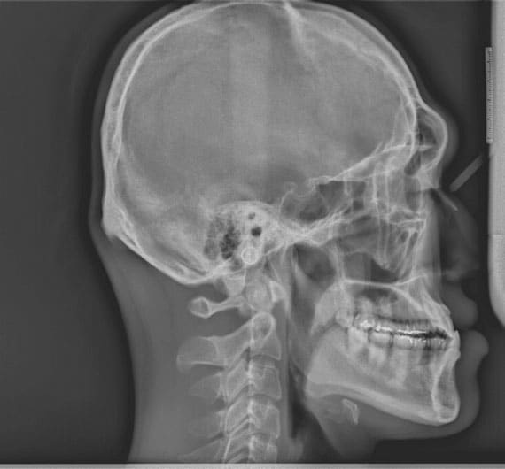
FIGURE 10. Pretreatment cephalometric radiograph demonstrating normal maxillary incisor positioning and normal mandibular incisor positioning. The patient underwent twojaw surgery to reduce the amount of mandibular reduction necessary for correction.