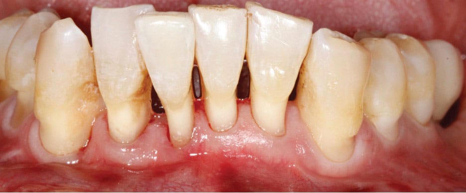
Return to "Soft Tissue Graft Alternatives for Treating Mucogingival Defects" FIGURE 3A. As described in case report 2, this view of the mandibular teeth depicts generalized recession, lack of attached gingiva, interdental attachment loss, and a shallow vestibular depth. Next Previous