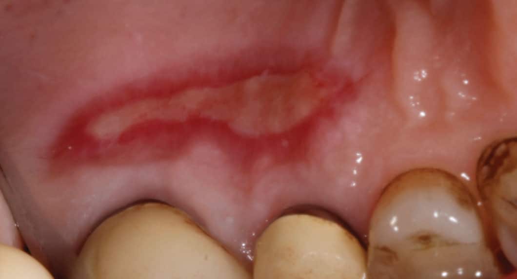
Return to "Soft Tissue Graft Alternatives for Treating Mucogingival Defects" FIGURE 1. Palatal wound healing at the donor site via secondary intention after soft tissue graft harvest. Next Previous