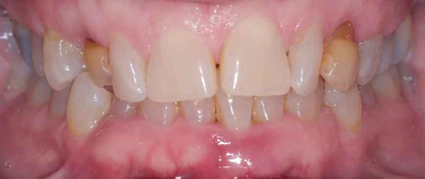
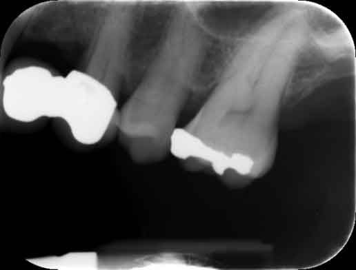
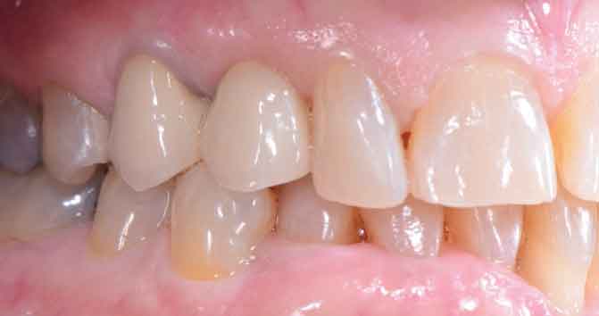
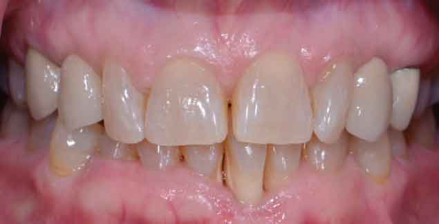
Return to "Modern Applications for The Cantilever Fixed Partial Denture" partial-denture-1 Next Previous