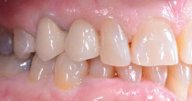
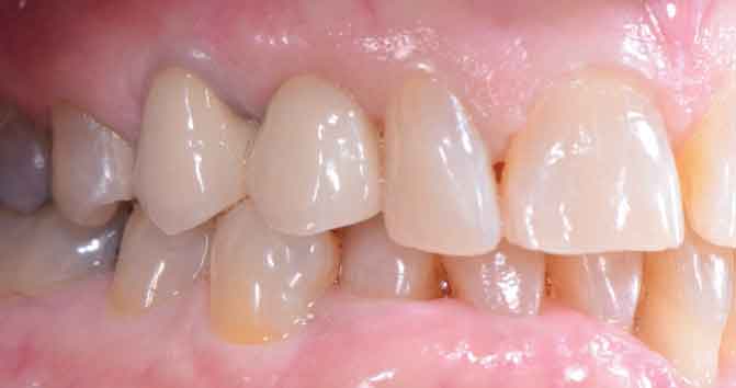
Return to "Modern Applications for The Cantilever Fixed Partial Denture" partial-denture-8 Next Previous