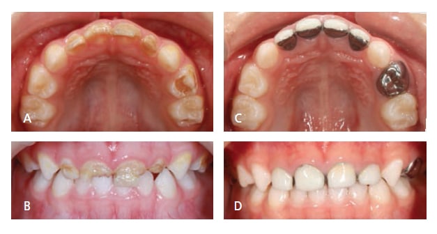
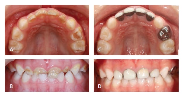
Return to "A Review of Esthetic Crowns for the Primary Anterior Dentition" mxillary-primary-incisors Next Previous