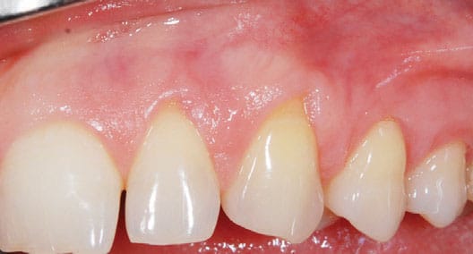
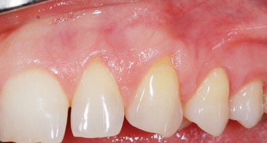
Return to "Minimally Invasive Treatment of Gingival Clefts" 034_Gingiva_32-35-(Page-34)_Page_1_Image_0004 Next Previous