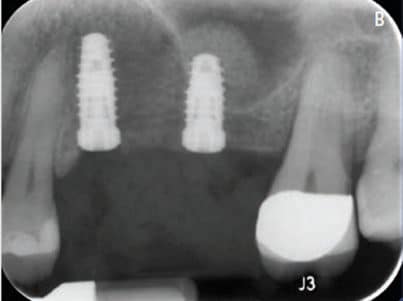
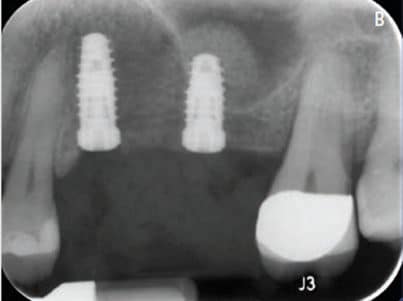
Return to "Implant Placement With Augmentation and Osteotomy Sinus Elevation" sinus-fig-9b Next Previous