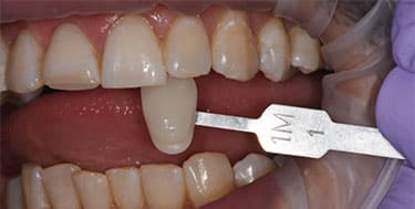
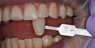
Return to "CE Sponsored by Colgate: Developments in Dental Office Bleaching Technology" tooth bleaching fig-9 Previous