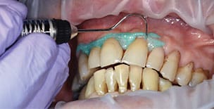
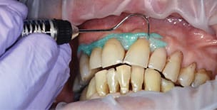
Return to "CE Sponsored by Colgate: Developments in Dental Office Bleaching Technology" Tooth bleaching fig-3 Next Previous