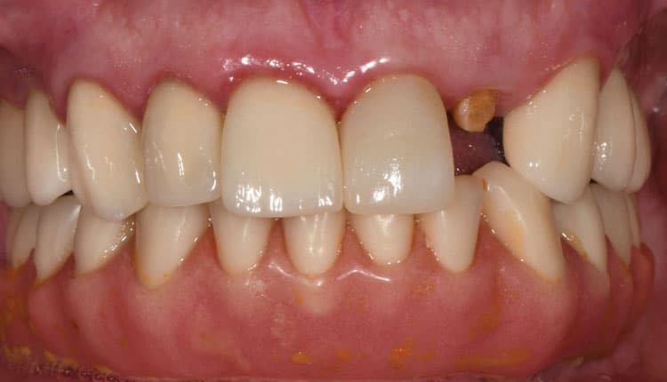
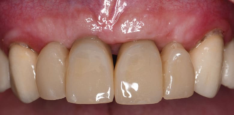
Return to "Blended Workflows in the Planning and Delivery of Dental Implants" workflows Next Previous