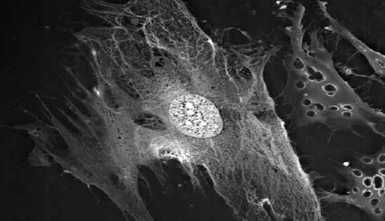
Return to "Pulpal Stem Cells Studied For Use in Regenerative Therapy for Cranial Defects" 0821-newsline-pulpal-stem-cells Previous