0116-prevent-1
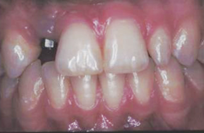
FIGURE 1A. The soft tissue overlaying the
implant at tooth #7 appears grayish, possibly
reflecting the underlying metal structure.
This website uses cookies to improve your experience. We'll assume you're ok with this, but you can opt-out if you wish. Accept Read More