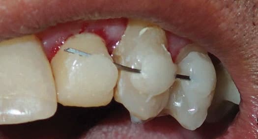
Return to "Improve Restorability With Orthodontic Extrusion" 010_orthoExtrusion_8-10-(Page-10)_Page_1_Image_0025 Next Previous