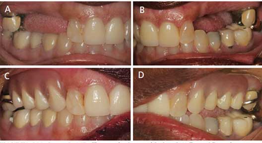
Return to "Alternative Esthetic Clasp For Removable Partial Dentures on Maxillary Incisors or Canines" clasp-fig-14 Previous