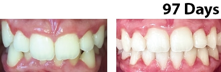
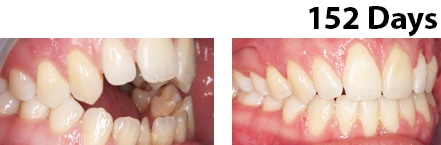
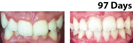
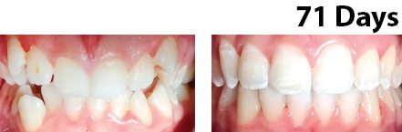
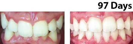
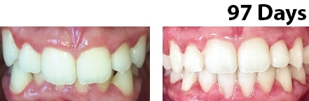
Return to "Webinar: Revolutionary FastbracesĀ® Technology Treatment in Days for Dentists" fb-97 Next Previous