A peer-reviewed journal that offers evidence-based clinical information and continuing education for dentists.

Please join us Thursday, October 23rd for a

Free Webinar + CE Course

Revolutionary Comprehensive Orthodontic Treatment in Days for Dentists

+ Get a Free CE Course as a Thank You for Attending

Join us online Thursday, October 23rd for an informative webinar that explains how the Revolutionary Comprehensive Orthodontic Treatment in Days for Dentists is shaping the future of the modern dental practice.

This webinar is for dentists who want to grow their practice with orthodontics.

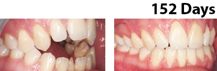
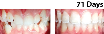
The science of straightening teeth has come a long way since its inception and Fastbraces® Technologies is an example of the continued evolution of orthodontic treatments. Presented by American orthodontist from Dallas, Texas, and former faculty member at multiple Universities, Dr. Anthony Viazis, Inventor & Founder of Fastbraces® Technologies, this can’t-miss webinar details how the revolutionary Fastbraces® Technologies bracket systems have reduced the duration of orthodontic treatments to as little as 60–90 days and are available to dentists in the U.S. and around the world.

Fastbraces® Technology uses just one wire from start to finish to “orthoerupt” the roots of teeth from the onset of treatment towards their natural position. By using an “alveolar bone formula score,” which measures the severity of the defects of the alveolar bone structure, dentists can easily identify the difficulty level and estimate the time it will take to straighten a patient’s teeth nonextraction, calculated in days. This webinar describes how this breakthrough technology works.

Webinar Highlights

  • Super Easy Way to learn the revolutionary way of moving teeth in days
  • Speed: Can finish cases in as little as 60–90 days using the Fastbraces patented brackets and methods for restoring the improper morphology of the alveolar bone by aligning the teeth without extractions with very light forces applied on the roots of teeth from the onset of treatment
  • Make spaces for implants even in about 100 days
  • “The average treatment time for my cases is 120-150 days” by a general dentist
  • See multiple cases treated by general dentists from around the world
  • See periodontal and surgical cases treated non-surgically with Fastbraces®
  • Join the thousands of doctors around the world who have already been trained

Presented by

Dr. Anthony Viazis, DDS MS, Orthodontist, Founder of Fastbraces®

This website uses cookies to improve your experience. We'll assume you're ok with this, but you can opt-out if you wish. Accept Read More

Privacy & Cookies Policy

BLACK FRIDAY / CYBER MONDAY
CE PROMOTION

Coupon has expired Stay top of your profession with our evidence-based peer-reviewed continuing education courses written by world-class educators and researchers!
Get Black Friday CE Savings!